当前位置:肿瘤瞭望>百家>病例>正文

例例在目丨TKI不可或缺,舒尼替尼一线方案助力中危RCC患者突破2年无进展生存

作者:肿瘤瞭望   日期:2025/4/15 10:52:47  浏览量:15784

肿瘤瞭望版权所有,谢绝任何形式转载,侵犯版权者必予法律追究。

肾癌是我国常见恶性肿瘤之一,其中最常见的组织类型为肾透明细胞癌(RCC)。外科手术是局限性和局部进展性RCC患者首选的、可能治愈的治疗方式,而术后辅助治疗有望进一步延长患者生存。本期病例分享了一例RCC患者术后辅助治疗以及多学科合作(MDT)方案,以期为临床实践提供更多思考。

编者按:肾癌是我国常见恶性肿瘤之一,其中最常见的组织类型为肾透明细胞癌(RCC)。外科手术是局限性和局部进展性RCC患者首选的、可能治愈的治疗方式,而术后辅助治疗有望进一步延长患者生存。本期病例分享了一例RCC患者术后辅助治疗以及多学科合作(MDT)方案,以期为临床实践提供更多思考。
 
中肿MDT团队晚期肾癌病例汇报
 
病例汇报:
彭毓璐教授中山大学肿瘤防治中心泌尿外科
 
病例点评:
董培教授中山大学肿瘤防治中心泌尿外科
周芳坚教授中山大学肿瘤防治中心泌尿外科
 
彭毓璐教授
中山大学肿瘤防治中心泌尿外科
医师/助理研究员、肿瘤学博士
入选2022年国家“博士后创新人才支持计划(博新计划)”
主持国家自然科学基金青年项目1项,博士后面上项目1项,广东省自然科学基金面上项目1项,参与肾癌临床研究4项。
以第一/通讯作者身份发表SCI论文10余篇,其中IF>10分5篇,包括泌尿外科顶级杂志European Urology,肿瘤免疫治疗协会官方杂志Journal for ImmunoTherapy of Cancer,美国临床肿瘤学会官方杂志Clinical Cancer Research。
主要研究方向为肾癌肿瘤微环境与免疫治疗耐药。
 
病例介绍
 
患者基本信息
 
一般资料:中年女性;2018年3月,体检发现左肾占位2天入院。
 
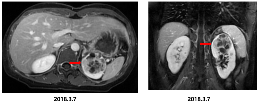
影像学检查:我院腹部增强MRI显示左肾上极占位病变,大小约为45x45x48 mm,考虑囊性肾癌可能性大。病灶未侵犯肾盂,未侵犯邻近血管,腹膜后未见肿大淋巴结。
 
外院胸部CT未见明显异常。
 
既往史:诊断“IgA肾病”1年,服用“泼尼松”20 mg/d治疗,血肌酐稳定在100-120 umol/L,蛋白尿+~++。
 
诊断:1.左肾肿瘤cT1bN0M0,I期;2.IgA肾病;3.慢性肾功能不全;4.蛋白尿
 
△腹部增强MRI显示左肾上极占位病变

治疗经过

·手术治疗
 
2018.03.09行机器人辅助左肾部分切除术。
 
术后诊断:透明性肾细胞癌,G3,pT1aN0M0,I期。
 
2019.10无明显诱因出现右侧胸锁关节不适。
 
查体:右侧胸锁关节凸起。
 
复查PET-CT:右侧锁骨、骶骨、及左侧髂骨局部骨质破坏并代谢活跃,考虑转移。
 
诊断:转移性肾透明性细胞癌(多发骨转移,IV期)。
 
△PET-CT显示多处骨质破坏并代谢活跃
 
·一线治疗:舒尼替尼
 
2019.10.21开始舒尼替尼50 mg po QD治疗(4/2方案)。
 
2020.05.27复查PET-CT病灶稳定,代谢较治疗前明显减低。影像学评估SD。
 
△舒尼替尼治疗后病灶稳定,代谢较治疗前明显减低
 
2021.12.11复查CT:左侧肾上腺低密度结节,最大径约1.5 cm,环形强化,较前新发,考虑转移。其余病灶较前相仿。影像学评估:PD。
 
一线PFS:25个月。
 
·二线治疗
 
2021.12.12开始阿昔替尼5mg po bid治疗。
 
2022.06.05复查CT:左肾上腺病灶较前明显缩小,其余病灶较前相仿。
 
2022.09.01复查CT:T1右侧横突可见溶骨性骨质破坏,较前新发,考虑转移,其余病灶较前相仿。
 
二线PFS:9个月。
 
·后线治疗
 
2022.09复查T1新发病灶,进行多学科讨论,对其进行新发T1病灶的SBRT治疗,维持阿昔替尼治疗。
 
2022.12复查CT:各个病灶均较前相仿。
 
2023.03.01复查CT:左肾下极低密度病灶,边缘不均匀强化,较前增大,其余病灶较前相仿。
 
2023.04行左肾下极肿瘤SBRT治疗。
 
2023.05至今,维持阿昔替尼治疗,间断地舒单抗护骨治疗。
 
诊疗经验
 
EAU肾细胞癌指南(2018版)推荐T1肾癌推荐行肾部分切除术,并且这部分患者无需术后辅助治疗[1]。而对于出现异时性转移性的肾癌患者,我国CSCO肾癌诊疗指南(2019版)推荐进行系统治疗,并且国内外相关指南[CSCO肾癌诊疗指南和美国国家综合癌症网络(NCCN)肾癌指南]基于循证医学证据,推荐优选舒尼替尼治疗中危肾癌患者[2,3]
 
其中,COMPARZ研究是一项头对头、随机、开放标签、III期、非劣效性研究,共纳入1110例晚期肾透明细胞癌患者,旨在评价舒尼替尼和培唑帕尼一线治疗晚期肾透明细胞癌的疗效和安全性。研究结果表明,无论是总人群、亚洲人群还是中国人群,舒尼替尼对比培唑帕尼用于mRCC一线治疗,PFS/OS数值上均更优[4-6]
 
△舒尼替尼治疗晚期RCC患者的PFS和OS数值更优
 
RCC一线治疗后发生骨、肺或脑等部位转移,5年生存率仅10%左右。美国NCCN指南推荐通过转移瘤切除、立体定向放疗(SBRT)和消融等手段局部处理寡转移病灶[3]。中肿晚期肾癌MDT团队(包括肿瘤内科、泌尿科、放疗科、病理科和影像科的多学科专家)研究显示,放疗与酪氨酸激酶抑制剂(TKI)等全身治疗联合可起到1+1>2的效果;2年局部控制率可达95%,能够帮助这些患者的中位OS达到61.2个月[7]
 
△放射治疗(SBRT)联合全身治疗晚期RCC患者的2年局部控制率和中位生存期
 
大咖点评

董培教授:对于局限性和局部进展性肾细胞癌患者而言,外科手术仍然是首选的可能使患者获得治愈的治疗方式[8]。而术后出现进展,目前CSCO肾癌诊疗指南推荐中低危患者优选舒尼替尼等TKI药物进行治疗[9]。我们中肿团队也在积极探索晚期肾癌的MDT方案,目前研究结果显示,放疗联合TKI等全身治疗,可为患者带来超过5年的生存,我们也期待这一方案能在更多中心进行验证。
 
周芳坚教授:虽然目前已经进入免疫治疗时代,但TKI药物依然不可或缺;TKI等靶向药物联合免疫治疗,能够为晚期肾癌患者带来新的选择。此外,对于肾癌原发灶放疗是外科治疗的补充;中肿团队前期的临床经验和临床研究已经获得国际认可,相信中肿经验的推广会为更多mRCC患者带来新的体验。
 
▌参考文献:
 
[1].Powles,Thomas,et al.European urology 73.3(2018):311-315.
 
[2].Jonasch,Eric.Journal of the National Comprehensive Cancer Network 16.5S(2018):639-641.
 
[3].中国临床肿瘤学会(CSCO)指南工作委员会.CSCO肾癌诊疗指南(2019).人民卫生出版社
 
[4].Robert J Motzer,et al.N Engl J Med.2013 Aug 22;369(8)722-31.
 
[5].https://clinicaltrials.gov/ct2/show/results/NCT01147822
 
[6].Xinan Sheng,et al.BMC Cancer.2020 Mar 14;20(1):219.
 
[7].He L,Liu Y,Han H,et al.Am J Clin Oncol.2020 Jan;43(1):58-63.
 
[8].肾细胞癌诊疗指南(2022年版)
 
[9].中国临床肿瘤学会(CSCO)指南工作委员会.CSCO肾癌诊疗指南(2024).人民卫生出版社
 
点评专家简介
 
 
周芳坚教授
中山大学肿瘤防治中心
教授、主任医师、博士生导师
中国抗癌协会泌尿生殖系肿瘤专业委员会第1~2届副主任委员
中国临床肿瘤学会(CSCO)第二届理事
CSCO前列腺癌专家委员会副主委
CSCO膀胱癌专家委员会副主委
CSCO肾癌专家委员会主委
中华医学会泌尿外科学分会委员
广东省抗癌协会泌尿生殖系肿瘤专业委员会主任委员
中山大学附属肿瘤医院前列腺癌单病种首席专家
华南达芬奇手术机器人技术培训中心主任
广东省医学会泌尿外科分会副主委
中华泌尿外科杂志编委
中国癌症杂志常务编委
美国泌尿外科学会会员
国际泌尿外科学会会员
欧洲泌尿外科学会会员
 
 
董培教授
中山大学肿瘤防治中心
主任医师,肾癌单病种主诊教授
中南大学-哈佛大学联合培养博士;
中国抗癌协会少见肾癌协作组副组长;
CSCO肾癌诊疗指南编写秘书、编委;
中国抗癌协会中西整合肾癌专委会副主任委员;
广东省肾癌诊疗质控专委会副主任委员;
广东省保健协会免疫治疗分会副主任委员;
中国临床肿瘤学会(CSCO)青委常委委员;
中国临床肿瘤学会(CSCO)肾癌专委会委员;
JCO中文版、CA中文版编委
羊城好医师;金山茶花奖-中国好医生;
中国泌尿MDT卓越医师;
擅长:泌尿肿瘤的综合治疗,肾癌全程管理专家,微创保肾治疗复杂性肾肿瘤,高危肾癌的手术及术后辅助治疗,晚期转移性肾癌个体化多学科综合治疗,腹膜后复杂肿物的手术治疗;主持国自然面上、省自然面上多项基金、主持10余项单/多中心前瞻性临床研究;在Clin Cancer Res、IJC、Eur Radiol等发表多篇论文;

本内容仅供医学专业人士参考


肾癌

分享到: 更多