当前位置:肿瘤瞭望>资讯>研究>正文

转换用药,安全有效 | 一例赫赛汀转换为汉曲优治疗HER2阳性晚期胃癌伴肝转移的病例分享

作者:肿瘤瞭望   日期:2022/5/9 21:07:33  浏览量:24357

肿瘤瞭望版权所有,谢绝任何形式转载,侵犯版权者必予法律追究。

我国是胃癌大国,根据世界卫生组织国际癌症研究机构(IARC)发布的2020年中国最新癌症负担数据:2020年中国癌症新发病例457万例,其中胃癌48万例位居第三;2020年中国癌症死亡人数300万,其中胃癌37万,位居第三[1]。70%的胃癌患者确诊时为局部进展期或进展期胃癌。其中HER2阳性胃癌是一类高度异质性肿瘤,侵袭性强、复发率高、预后不良。国内胃癌HER2阳性率的多中心研究结果显示,中国人群胃癌HER2阳性率为12~13%。ToGA[2]研究证实,曲妥珠单抗联合化疗能显著提高HER2过表达晚期胃癌患者治疗反应率,改善患者生存状况,因此曲妥珠单抗被推荐用于HER2过表达晚期胃癌的一线治疗。肝脏是胃癌血行转移最常见的靶器官,胃癌肝转移的总体发生率约9.9%~18.7%。本文通过一例赫赛汀?转换为汉曲优?治疗HER2阳性晚期胃癌伴肝转移的病例,向大家介绍汉曲优?(曲妥珠单抗)在治疗HER2阳性晚期胃癌伴肝转移患者的临床获益情况。(注:本文中汉曲优?为复宏汉霖研发生产的曲妥珠单抗)

▌ 病例作者:大连医科大学附属第一医院 李颖 教授

▌点评专家:大连医科大学附属第一医院 张洁 教授
 
编者按
 
●我国是胃癌大国,根据世界卫生组织国际癌症研究机构(IARC)发布的2020年中国最新癌症负担数据:2020年中国癌症新发病例457万例,其中胃癌48万例位居第三;2020年中国癌症死亡人数300万,其中胃癌37万,位居第三[1]。70%的胃癌患者确诊时为局部进展期或进展期胃癌。其中HER2阳性胃癌是一类高度异质性肿瘤,侵袭性强、复发率高、预后不良。国内胃癌HER2阳性率的多中心研究结果显示,中国人群胃癌HER2阳性率为12~13%。ToGA[2]研究证实,曲妥珠单抗联合化疗能显著提高HER2过表达晚期胃癌患者治疗反应率,改善患者生存状况,因此曲妥珠单抗被推荐用于HER2过表达晚期胃癌的一线治疗。肝脏是胃癌血行转移最常见的靶器官,胃癌肝转移的总体发生率约9.9%~18.7%。本文通过一例赫赛汀®转换为汉曲优®治疗HER2阳性晚期胃癌伴肝转移的病例,向大家介绍汉曲优®(曲妥珠单抗)在治疗HER2阳性晚期胃癌伴肝转移患者的临床获益情况。(注:本文中汉曲优®为复宏汉霖研发生产的曲妥珠单抗)
 
病史简介
 
患者:王某,64岁,男,身高180cm ,体重60kg ,BMI 18.52。
 
主诉:胃癌姑息术后1年余。
 
既往史:既往体健,否认吸烟史、饮酒史。
 
家族史:否认家族性遗传病、传染史。
 
查体:全身皮肤粘膜无黄染,全身浅表淋巴结不大,腹部可见手术瘢痕,质软,无压痛,肝脾肋下未及,未触及包块,移动性浊音阴性。
 
▌影像学检查:
 
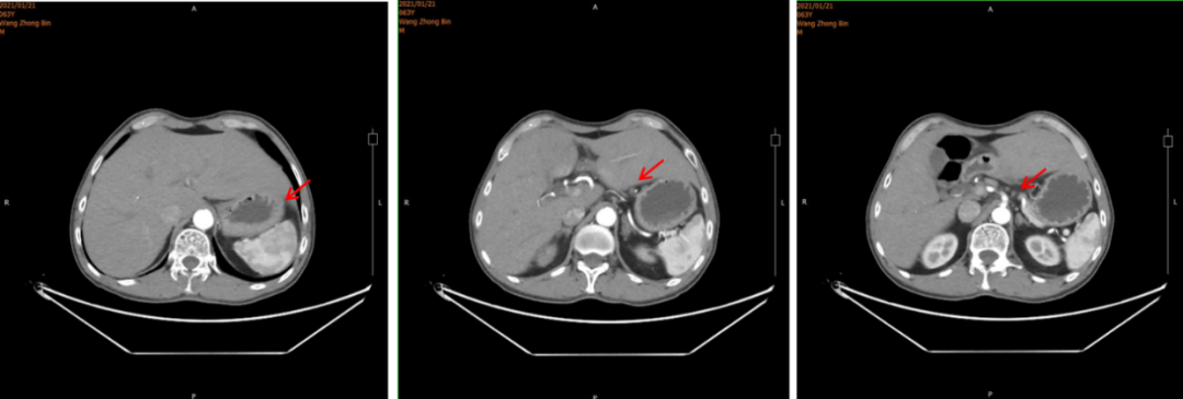
2021年1月21日腹部CT:胃窦癌征象,伴胃周、腹膜后增大淋巴结,请结合临床;肝右叶肝内胆管结石或钙化灶;左侧肾上腺强化不均。
 
图1.腹部CT
 
2021年1月22日胃镜示:胃窦环幽门见一溃疡型病变,致管腔狭窄,镜身无法通过。
 
图2. 胃镜
 
▌肿瘤基本病理:
 
2021年1月25日:全麻下腹腔镜姑息性远端胃大部分切除D2廓清 B-Ⅱ+Braun消化道重建肝部分切除术。术中见:肝左外叶见1枚约1*0.5cm灰白结节,肿瘤位于胃下部,大小8*6cm,侵及胰腺被膜,NO.6组淋巴结肿大。
 
▌胃术后病理:
 
胃溃疡型中低分化管状腺癌,大小4.7*3.7cm,侵及全层,脉管癌栓,神经侵犯;纤维脂肪组织内见淋巴结转移一枚,送检(6、7.8a、9组)淋巴结见转移癌(5/17),并见癌结节一枚。送检(1.3组、4sb组)淋巴结未见转移癌(0/6)。
 
▌免疫组化:
 
GST-π:(+),HER-2:(3+),Ki67:(+80%),MLH-1:(表达),MSH-2:(表达),MSH-6:(表达),PMS-2:(表达),P53:(突变型)。
 
▌肝术后病理:
 
肝内见中分化管状腺癌,大小为0.9*0.6*0.7cm,结合病史及免疫组化结果考虑为胃腺癌转移来源,累及肝被膜,未见明确脉管及神经侵犯。免疫组化:ARGINASE-1(-)、CDX-2(少许+),CK19(+)、CK20(-)、CK7(+)、GPC-3(部分+)、Hep-par(少许+)、Ki67:(+75%)、muc-5AC(+)、SATB2(-)、villin(+)。
 
▌术后病理:
 
胃溃疡型中低分化管状腺癌淋巴结转移(图3左),肝内见中分化管状腺癌考虑为胃腺癌转移来源(图3右)。
 
图3 术后病理
 
诊断:胃癌姑息术后(pT3N2M1)PLVN+、Her-2过表达、pMMR型,同时性肝转移癌术后,肝转移癌(肝左叶单发)。
 
治疗经过
 
2021年1月25日:全麻下腹腔镜姑息性远端胃大部分切除 D2廓清 B-Ⅱ+Braun 消化道重建肝部分切除术。
 
2021年3月5日术后化疗时上腹部增强MRI发现疾病进展,出现新发肝转移癌。MRI示:胃体积减小,肝脏局部体积减小,肝左叶见一类圆形轻度环形强化影,平扫显示不清,最大径约16.6mm。诊断建议:肝、胃术后改变,肝左叶环形强化影,新发肝转移。(图4)
 
图4. 上腹部增强MRI
 
2021年3月3日起行一线曲妥珠单抗联合AS方案化疗:
 
具体:赫赛汀®:440mg 首周期剂量,360mg 后续周期剂量,7周期,因经济原因和患者体重下降原因调整为汉曲优® 300mg 继续完成后续治疗,目前共完成靶向治疗17周期(汉曲优®10周期);白蛋白紫杉醇:400mg,d1,ivgtt;TS-1:50mg,d1-14,bid,po,Q21d;完成治疗6周期;TS-1:60mg, d1-14,bid,po,Q21d;维持治疗,完成维持治疗8周期。
 
▌治疗后影像学:
 
2021年5月12日、7月21日和12月28日:上腹部MRI示:肝、胃术后改变,肝左叶环形强化影,体积较前逐渐减小(最大径分别为15.8mm、14.8mm、10.6mm)。(图5) 
 
图5.上腹部MRI
 
▌治疗后评价:
 
PR
 
▌后续治疗方案:
 
后续患者沿用曲妥珠单抗(汉曲优®)联合替吉奥至今。
 
▌病例小结:
 
HER2阳性胃癌是一类独特的疾病亚型,其异质性高的特点要求在治疗时需要采用不同的策略与方法。在该病例中患者确诊为HER2阳性晚期胃癌伴肝转移。ToGA [2]研究证实,曲妥珠单抗联合化疗能显著提高HER2过表达晚期胃癌患者治疗反应率,改善患者生存状况,因此曲妥珠单抗被推荐用于HER2过表达晚期胃癌的一线治疗。该患者姑息性远端胃大部分切除D2廓清B-Ⅱ+Braun消化道重建肝部分切除术后5周行一线曲妥珠单抗联合AS方案化疗时再次发现肝转移病灶。使用赫赛汀®7周期,期间于2021年5月12日、2021年7月21日复查上腹部MRI肝左叶环形强化影,体积较前逐渐减小。
 
汉曲优®Ⅲ期临床研究[3]结果显示,汉曲优®与原研曲妥珠单抗疗效等效,安全性、免疫原性相似,曲妥珠单抗生物类似药得到NCCN-GI指南、CSCO-GI指南的用药推荐,2020年《中国生物类似药专家共识》也指出:生物类似药与参照药疗效等同、安全性相似,临床上可以替代使用。在本病例中,患者综合经济因素等原因,在使用原研曲妥珠单抗7周期有效后,转换为曲妥珠单抗生物类似药(汉曲优®)继续治疗,目前已使用10周期,并于2021年12月28日复查上腹部MRI示:肝、胃术后改变,肝左叶环形强化影,体积较前逐渐减小,达到PR,显示出良好的疗效和安全性。
 
专家点评
 
曲妥珠单抗联合治疗成为晚期HER2阳性胃癌的金标准
 
胃癌是全球第三大癌症相关死亡原因[1]。尽管在预防、早期发现和各种治疗选择方面有所改进,但预后仍然很差。胃癌诊断时通常已是晚期,生存期不到1年。化疗作为晚期肿瘤治疗的主要手段并没有明显的优势,这凸显了寻找新的更有效的治疗方案的必要性。基于目前对分子和细胞机制的了解,引入了一些新的生物学方法,如抗体疗法,用于治疗癌症,这些方法主要影响免疫系统或在癌症和转移发展中发挥作用的靶信号通路。在胃癌的治疗靶点中, HER2信号通路是抗体治疗最受欢迎的靶点之一。
 
曲妥珠单抗是一种人源化重组单克隆抗体,能选择性地与HER2胞外区结合,阻断其下游信号传导,下调HER2蛋白,激活肿瘤细胞凋亡信号。该抗体的另一个作用机制是通过抗体依赖细胞介导的细胞毒间接抗肿瘤作用。多年来,曲妥珠单抗一直是HER2阳性胃癌治疗中可靠的基石。TOGA[2] III期临床试验评估了曲妥珠单抗方案与标准一线化疗方案的比较。曲妥珠单抗在中位总生存期(13.8个月vs11.1个月)、中位无进展生存期(6.7个月vs 5.5个月)、总有效率(47% vs 35%)等方面均有统计学意义的改善。此后,基于这些结果,曲妥珠单抗联合化疗成为晚期HER2阳性胃癌的金标准。此外,肝脏是胃癌血行转移最常见的靶器官。胃癌肝转移的总体发生率约4-14%[4],本案例也证实曲妥珠单抗联合化疗对晚期胃癌伴有肝转移患者治疗的有效性。
 
汉曲优®-曲妥珠单抗转换用药安全有效
 
曲妥珠单抗联合化疗是目前HER2阳性晚期胃癌的标准治疗,汉曲优®是曲妥珠单抗的生物类似药,完整的相似性评价证实了汉曲优®与原研曲妥珠单抗疗效等效、安全性相似[5]。曲妥珠单抗生物类似药已得到国内外指南的用药推荐,NCCN-BC[6]、GC指南和2022年CSCO-BC、GC指南[7-8]均指出生物类似药可以作为曲妥珠单抗的合适替代,说明生物类似药的疗效和安全性得到了专家认可。
 
本案例中, HER2阳性胃癌伴肝转移,术后再次发生肝转移,在完成7周期赫赛汀®治疗后因经济原因转换为汉曲优®继续完成后续治疗10周期,目前共完成靶向治疗17周期。期间3次影像学评估,肝转移肿瘤缩小明显均达到PR,后续患者沿用曲妥珠单抗(汉曲优®)联合替吉奥,将持续关注患者的PFS和OS获益。本案例也证实了汉曲优®在HER2阳性胃癌伴肝转移治疗上疗效显著。这个结果再次证明生物类似药与原研产品疗效等同,医生可以放心替代使用。
 
参考文献
 
[1] 数据来源IARC官网https://www.iarc.who.int
 
[2] Bang Y J, Cutsem E V, Feyereislova A, et al. Trastuzumab in combination with chemotherapy versus chemotherapy alone for treatment of HER2-positive advanced gastric or gastro-oesophageal junction cancer (ToGA):a phase 3, open-label, randomised controlled trial[J]. Lancet, 2010, 376(9742):687-697.
 
[3] Xu B, Zhang Q, Sun T, et al. HLX02-BC01 Investigators. Efficacy, Safety, and Immunogenicity of HLX02 Compared with Reference Trastuzumab in Patients with Recurrent or Metastatic HER2-Positive Breast Cancer:A Randomized Phase III Equivalence Trial. BioDrugs. 2021, 35 (3):337-350.
 
[4] 陈凛, 郗洪庆, 李佶阳. 胃癌肝转移规范化治疗[J]. 中国实用外科杂志, 2014, 34(07):619-621.
 
[5] Xu B, Zhang Q, Sun T, et al. HLX02-BC01 Investigators. Efficacy, Safety, and Immunogenicity of HLX02 Compared with Reference Trastuzumab in Patients with Recurrent or Metastatic HER2-Positive Breast Cancer:A Randomized Phase III Equivalence Trial. BioDrugs. 2021, 35(3):337-350.
 
[6] NCCN Clinical Practice Guidelines in Oncology (NCCN Guidelines®) Breast Cancer,NCCN Guidelines for Patients® available at www.nccn.org/patients[J]. 2022.
 
[7] 中国临床肿瘤学会指南工作委员会. 乳腺癌诊疗指南2021版[J]. 2021.
 
[8] 中国临床肿瘤学会指南工作委员会. 胃癌诊疗指南2021版[J]. 2021.
 
病例作者简介
 
 
李 颖
 
大连医科大学附属第一医院肿瘤内科
 
副主任医师   肿瘤学硕士
 
CSCO抗肿瘤药物安全委员会委员
 
辽宁省医师学会肿瘤学会青年委员
 
中国抗衰老协会肿瘤营养学会委员
 
辽宁省细胞生物学会肿瘤免疫委员会委员
 
大连肿瘤学会委员
 
主要从事肿瘤内科的诊断及治疗,尤其是肺癌、胃肠道肿瘤及乳腺癌等实体瘤的个体化及综合治疗,注重心理和营养支持治疗。
 
点评专家简介
 
 
张 洁 教授
 
硕士  硕士研究生导师
 
大连医科大学附属第一医院肿瘤日间化疗门诊 副主任
 
中国抗衰老促进会肿瘤营养专委会 副主任兼秘书长
 
中国医促会神经内分泌肿瘤辽宁分会 常务委员
 
中国医药教育协会老年医学与健康促进专委会 常务委员
 
中国医药教育协会腹部肿瘤专委会 委员
 
中国医药教育协会腹部肿瘤专委会辽宁基地 副秘书长
 
中国医药教育协会疑难肿瘤专委会 委员
 
中国研究型医院学会精准医学与肿瘤MDT专委会 委员
 
中国医师协会结直肠肿瘤专业委员会MDT专委会 委员
 
中国肺癌防治联盟液体活检专委会 委员
 
中国微循环学会肝脏微循环专委会 委员
 
辽宁细胞生物学会肿瘤营养学分会 副主任委员
 
辽宁细胞生物学会胸部肿瘤分会 理事
 
辽宁省免疫学会肿瘤免疫分会 常务委员
 
辽宁省抗癌协会大肠癌专委会 委员
 
辽宁省抗癌协会靶向治疗专委会 委员
 
辽宁省预防医学会肺癌预防与控制专委会肿瘤罕见突变学组委员
 
北京癌症防治学会免疫AE专委会 委员
 
大连肿瘤学会 秘书长
 
大连中日经济合作交流协会健康医学分会 秘书长

 

本内容仅供医学专业人士参考


胃癌

分享到: 更多